Gastrointestinal Radiology > Procedures > CT-Guided Perc. Gastrostomy > CT-Guided Perc. Gastrostomy (3)
CT-Guided Percutaneous Gastrostomy: A Tutorial
![]()
Procedure
Step 1: After the patient is placed on the CT table in a supine, head first position, start conscious sedation. At our institution, we use a mixture of fentanyl and midazolam with dosage based on the patient's weight and health status.
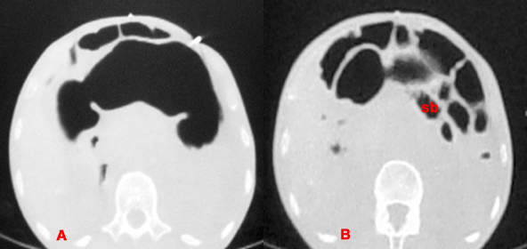
Step 2: Connect the nastrogastric tube to a manual insufflation bulb to facilitate gastric air distension. Inflate the stomach by pumping the bulb several times (10-20 times). Continued air insufflation will be necessary throughout the procedure to keep the stomach distended, especially after needle and guidewire placement. This can be accomplished by the aid of an assistant, often the sedation nurse, who can instill air as needed or at set intervals. Note that air leaks into the duodenum and peritoneum during the procedure.

Nasogastric tube attached to insufflation bulb. Vent clamped to prevent air escape.

Air initially distends the stomach (A) but eventually will leak into the small bowel (sb) and peritoneal cavity (B), so continued insufflation is necessary.
