Gastrointestinal Radiology > Procedures > CT-Guided Perc. Gastrostomy > CT-Guided Perc. Gastrostomy (1)
CT-Guided Percutaneous Gastrostomy: A Tutorial
![]()
Introduction |
|
Percutaneous gastrostomy using endoscopic guidance was first described over 20 years ago. This was followed by the description of percutaneous gastrostomy using fluoroscopic guidance. Percutaneous techniques have advantages over surgical gastrostomy, including avoidance of laparotomy, general anesthesia, operating room costs, and post-anesthetic recovery care. In addition, surgical gastrostomy has a complication rate of 29% compared to approximately 15% for percutaneous gastrostomy. Percutaneous endoscopic gastrostomy (PEG) and percutaneous fluoroscopic gastrostomy (PFG) have similar indications, technique, and risks. However, some patients are poor candidates for PEG and PFG due to anatomic or pathologic considerations. In these patients, computerized tomography (CT) can be a useful guidance alternative for percutaneous gastrostomy. Patient Selection The two main indications for gastrostomy are nutritional support and gastric decompression. Conditions where CT-guidance is useful or necessary include the following: 1. Inability
to transilluminate endoscopically
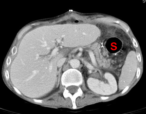
The gastric remnant (S) after a partial gastrectomy. This situation does not usually permit transillumination for endoscopic gastrostomy tube placement and requires CT guidance due to the distance from the abdominal wall and the smaller target.
|

