Skeletal Trauma > Ankle > Ankle Joint Effusion


Ankle Joint Effusion

Ankle Joint Effusion

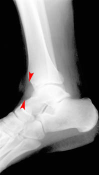
  • Joint effusion is seen as a fluid density semicircle anterior to the talotibial joint on the lateral view.
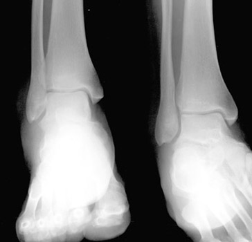
  • Soft tissue swelling is usually present on the AP view as well, but there may be no acute fracture.
Lateral view


AP and Mortise views