Skeletal Trauma > Ankle > Ankle Sprain


Ankle Sprain

Ankle Sprain

  • Damage or disruption of the soft tissue structures surrounding the ankle.
  • Injury results from severe inversion or eversion of the ankle. Severe inversion injuries are much more common and result in damage to the lateral soft tissue structures.
  • Patient presentation may range from mild pain and swelling to severe pain and swelling with an inability to walk.
  • It is critical to realize that this presentation is the same for fracture of the distal fibula. Therefore, radiologic exam is necessary to rule out fracture and to direct clinical treatment.
  • CT and/or MRI may be required to fully assess the extent of soft tissue damage.
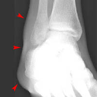
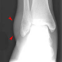
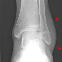
Look at the following radiographs showing swelling (arrows) around the lateral malleolus. Can you see a fracture?
AP view of right ankle

Mortise view of right ankle

AP view of left ankle

There are no fractures in any of the above images. This is a very common finding for a patient presenting with ankle swelling and tenderness. While no fractures were present, one can see the closing epiphyses of the distal tibia and fibula in each image. They are apparent as sclerotic bands in the distal region of each bone. Did you see them?

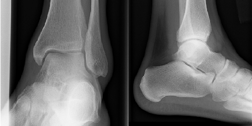
Now look at the radiographs below. Does this patient have a fracture?
Click on the image for the answer.
Mortise and lateral views of ankle