Skeletal Trauma > Knee > Quiz
Knee Quiz
![]()
|
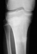
Can you name the fractures below? Click on the button for answers. | ||||||
![]() |
||||||
| AP and lateral knee views of a subtle fracture. | ||||||
| |
||||||
| ||||||
Knee Quiz
![]()
|
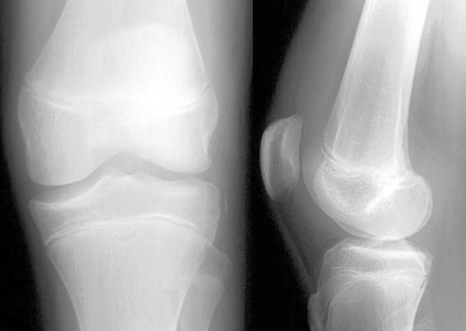
Can you name the fractures below? Click on the button for answers. | ||||||
![]() |
||||||
| AP and lateral knee views of a subtle fracture. | ||||||
| |
||||||
| ||||||