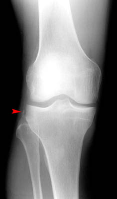
Skeletal Trauma > Knee > Segond Fracture


Segond Fracture

Segond Fracture
  • Avulsion of the lateral tibia at the attachment of the lateral capsule.
  • Varus stress and internal rotation of the leg that occur when the knee is flexed place excess tension on the lateral capsule and associated ligaments. Too much stress can result in avulsion.
  • Due to the mechanism of injury, anterior cruciate ligament tears are commonly associated with this type of fracture.
Lateral view

AP view

MRI of a segond fracture (arrow) and ACL tear (arrowheads)