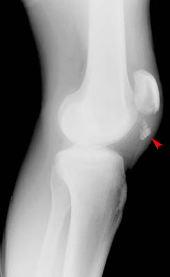
Skeletal Trauma > Knee > Transverse Avulsion Patellar Fracture
Transverse Avulsion Patellar Fracture
![]()
Transverse Avulsion Patellar Fracture
|
| In the image shown below, the distal portion of the patella was avulsed. |
|
|
Lateral view of knee |
