Skeletal Trauma > Knee > Patellar Fracture
Patellar Fracture
![]()
Patellar Fracture
| ||
|
| |
|
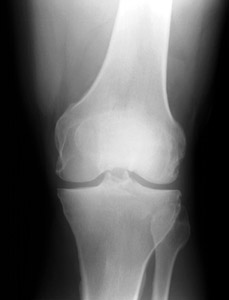
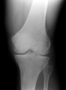
Oblique view |
AP view | |
| ||
|
Sunrise view | ||
|
Fractures of the patella can be confused with bipartite or multipartite patella. The radiographs below
show bipartite patella. Compare the images below with those shown above. Notice that the fractured
patella has pieces that fit together like a jigsaw puzzle. The bipartite or multipartite patella has
pieces with more rounded margins that do not fit together. | ||
|
| |
|
Oblique view |
Sunrise view | |
