Pediatric Radiology
> Chest
> Pulmonary Inflammatory Disease
> Cystic Fibrosis
Pulmonary Inflammatory Disease

|
Swyer-James Syndrome
Post-inflammatory bronchial stenosis results in a hyperlucent, enlarged pulmonary lobe due to air trapping.
Sickle Cell Acute Chest Syndrome
Acute chest pain with fever is a common complication of sickle cell disease. Pulmonary opacities are frequently seen on CXR, and it is unclear if the etiology is ischemic or infectious. Acute chest syndrome is treated with empiric antibiotics and supportive pain therapy.
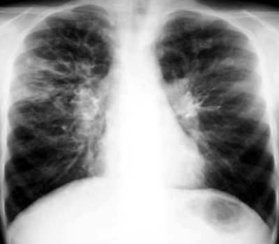
Cystic Fibrosis (CF)
Cystic Fibrosis is an autosomal recessive disease affecting 1/1500 caucasian individuals. The pulmonary system is most severely affected, but gastrointestinal complications are also common with meconium ileus in the newborn period and malabsorption that can result in failure to thrive.
Supportive care for CF has greatly extended the quality of life and overall life expectancy for these patients. However, recurrent pulmonary infections in combination with malnutrition will eventually lead to pulmonary insufficiency and pulmonary hypertension.
The presence of multiple recurrent pulmonary infections should lead to a test for CF. Meconium ileus is virtually the only diagnostic presentation of CF in the early course of the disease. Eventually, the CXR will demonstrate the characteristic hyperinflation and bronchiectasis. The CXR is used primarily to monitor acute infections and the general progression of the disease.
|
| | |
 |
| |
| | |
| |
| | |

