Surgical Respiratory Neonatal Distress

|
Pulmonary Sequestration
Pulmonary sequestration is lung tissue that is not connected to the tracheobronchial tree. Sequestration has a systemic arterial supply instead of a pulmonary artery supply. The documentation of the systemic arterial supply by US, CT, MRI or arteriography is diagnostic of sequestration. The venous drainage can be either systemic or pulmonary. Two types of sequestration, intralobar and extralobar, are recognized.
Intralobar sequestration is contained within the normal lung pleura and presents in the 2nd or 3rd decades with recurrent infections. The most common location is the medial left lower lobe.
Extralobar sequestration is contained in its own separate pleura and commonly presents in the neonatal period with respiratory distress from mass effect. Furthermore, other anomalies are frequently found with extralobar sequestration. As with intralobar sequestration, extralobar sequestration is frequently found in the medial left lower lobe presenting as a soft tissue mass. Extralobar sequestration can be confused with an adrenal mass (neuroblastoma) because it presents as a mass in the medial left lower lobe.
|
 |
 |
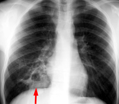
CXR demonstrating a consolidation with cavitation in the medial right lower lobe. |
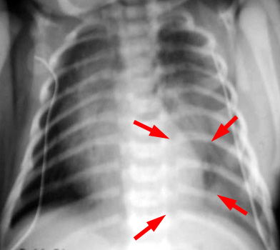
Neonatal CXR demonstrates a mass in the medial left lower lobe. An MRI demonstrated a systemic arterial supply off the aorta which confirmed an extralobar sequestration.
|
|

