Pediatric Radiology > Abdominal > Neonatal > Jejunal-Ileal Atresia
Jejunal-Ileal Atresia
![]()
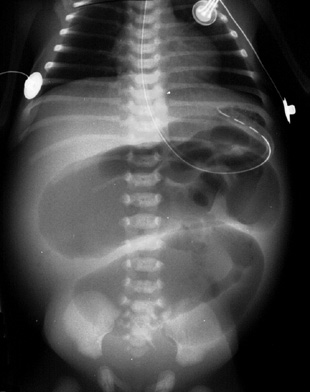
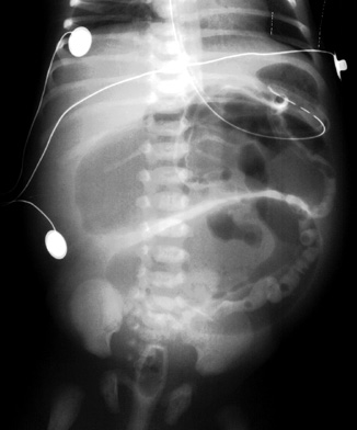
Jejunal-ileal atresia is a segmental atresia of the jejunum or the ileum. It is associated with malrotation and volvulus (25%) and cystic fibrosis (10%). Patients present within the first days of life with vomiting or a distended abdomen. |
|
![]() |
![]() |
|
Multiple distended loops of bowel. |
Barium enema demonstrates unused microcolon in a patient with distal ileal atresia. |

