Pediatric Radiology > Abdominal > Lower GI > Intussusception - Radiographic Features


Intussusception - Radiographic Features

Esophageal Atresia and Tracheoesophageal Fistula






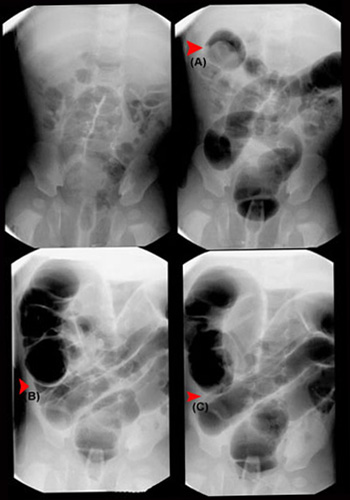
Air enema (clockwise from upper left):
  • Pre-reduction scout film
  • Demonstration of intussusception in hepatic flexure (A)
  • Reduced to ileocecal valve (B)
  • Completely reduced with air refluxed into small bowel (C)