Pediatric Radiology > Abdominal > Lower GI > Meckel's Diverticulum
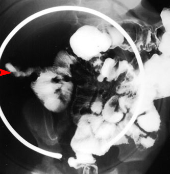
Meckel's Diverticulum
![]()
|
In a
Meckel's diverticulum, there is a persistence of the omphalomesenteric
duct. The incidence is 2-3% of the population, which makes it the most
common anomaly of the gastrointestinal tract. The majority of patients
will be under the age of ten, with a male to female ratio of 3:1. It is normally located within the last 6 feet of ileum with 94% of cases
on the antimesenteric border. |

