Pediatric Radiology > Abdominal > Neonatal > Necrotizing Enterocolitis - Radiographic Features
Necrotizing Enterocolitis - Radiographic Features
![]()
|
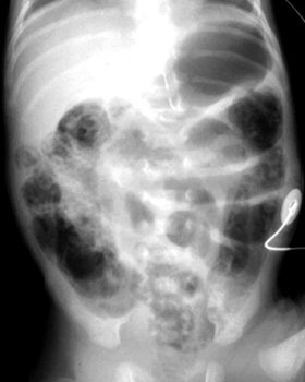
A
definitive radiographic finding is pneumatosis, gas in the bowel wall.
There is a "frothy" or "soap-bubble" bowel gas pattern. Linear or cresent shaped gas collections in the bowel wall may also be seen.
Another sign is unchanged bowel gas pattern over several films indicating
an ileus. More worrisome signs include gas in portal venous system and ascites.
Infants can have an occult perforation without
free intraperitoneal air in the setting of a gasless abdomen. Pneumoperitoneum
used to be considered a surgical emergency. However, a percutaineous drain may now be placed instead of surgery. |
|
![]() |
![]() |
| Multiple dilated loops of bowel with pneumatosis. | Extensive pneumatosis throughout the abdomen. |

