Head CT > Trauma > Chronic Subdural Hematoma
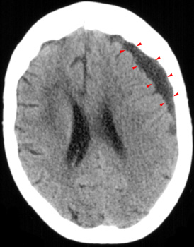
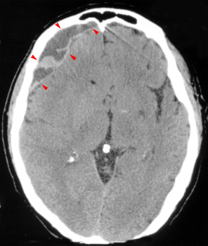
Chronic Subdural Hematoma

Chronic
SDH becomes low density as the hemorrhage is further reabsorbed. It is
usually uniformly low density but may be loculated. Rebleeding often occurs
and causes mixed density and fluid levels.