Head CT > Quiz
Quiz
![]()
Question 1: Which of the following is NOT true concerning epidural hematoma?
Question 2: Which of the following is NOT true concerning cerebral contusion?
Question 3: Which of the following is NOT true concerning diffuse axonal injury?
Question 4: Given the following CT, the most likely diagnosis is:


Question 5: The CT on the left, taken prior to contrast administration and the CT on the right, taken after contrast administration, show:




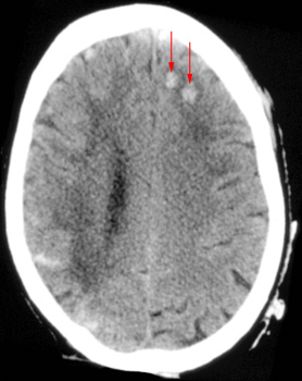
Question 6: Given the following head CT, the most likely diagnosis is:


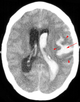
Question 7: Given the following head CT, the most likely diagnosis is:


Question 8: Which of the following is NOT shown in this CT?


Question 9: Which of the following is NOT an advantage to performing a CT scan for stroke?
Question 10: Which of the following is NOT true concerning CT?
