Head CT > Stroke > CT Pathophysiology
CT Pathophysiology
![]()
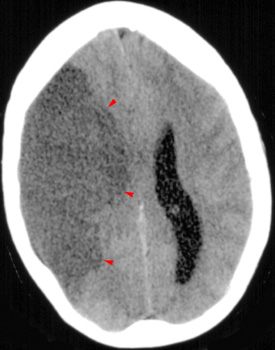
After a stroke, edema progresses, and brain density decreases proportionately. Severe ischemia results in a 3% increase in intraparenchymal water within 1 hour. This corresponds to 7-8 Hounsfield Unit decrease in brain density. There is also a 6% increase in water at 6 hours. The degree of edema is related to the severity of hypoperfusion and the adequacy of collateral vessels.

