Head CT > Infection > Cerebrovascular Complications
Cerebrovascular Complications
![]()
The development of cerebrovascular problems is the most common complication of meningitis. Arterial infarction can occur which often affects the basal ganglia due to the occlusion of small perforating vessels. Hemispheric infarction can also occur due to major vessel spasm. Venous infarctions are also common and can include cortical venous occlusion or the involvement of the superior sagittal sinus.
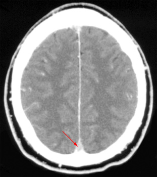
![]() ![]() The image on the
left shows thrombosis of the superior sagittal sinus (arrow) prior to
the administration of |


