Head CT > Infection > Hydrocephalus
Hydrocephalus
![]()
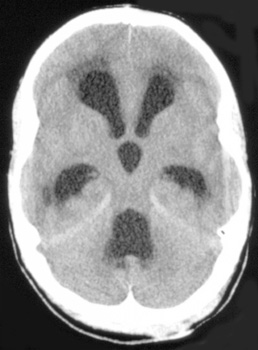
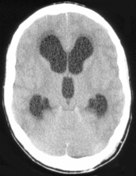
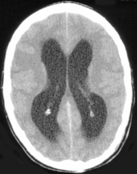
Hydrocephalus, a problem with the ratio of production of CSF to its reabsorbtion, is most frequent in children. Communicating hydrocephalus is the most common and is due to arachnoid villi and subarachnoid space obstruction. Obstructive hydrocephalus is less common but may occur as a result of the following:
- Aqueductal stenosis or occlusion
- Trapped fourth ventricle
- Ependymitis
![]() ![]() ![]() In these sections from the same patient notice the enlagement of the ventricles and cisterns that occurs with hydrocephalus. |



