Head CT > Degenerative > Parkinson's Disease > Imaging
Parkinson's Disease - Imaging
![]()
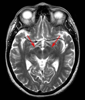
Radiographically Parkinson's disease appears as nonspecific atrophy with enlarged lateral ventricles and widened sulci on CT. On MR, decreased width of the pars compacta between the pars reticularis and the red nucleus may be evident. Otherwise, no statistically significant differences in signal intensity or size of the pars compacta have been substantiated.
On PET imaging using 6-fluorodopa (FDOPA), decreased uptake is most evident in the posterior striatum, particularly in the putamen. Additionally, PET studies of cerebral glucose metabolism using 18F Fluorodeoxyglucose (FDG) show diffuse cortical hypometabolism most marked in the parietotemporal cortex.
![]() ![]() The two images above are T2-weighted axial images through the midbrain. |


