Head CT > Anatomy > Quiz


Anatomy Quiz: Question 2/5

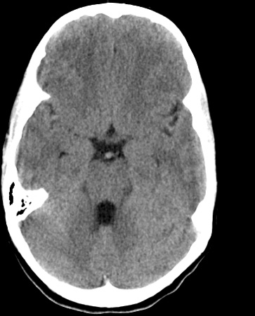
Identify the following structures in the head CT. To view the location of the structure in the image click on the label at the left and an arrow will point to the structure in the image.

Basilar Artery

Fourth Ventricle

Frontal Lobe

Midbrain

Suprasellar Cistern