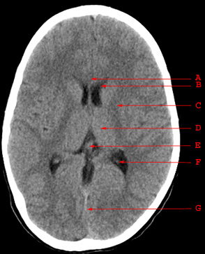
Normal Anatomy
A. Genu of the Corpus Callosum B. Anterior Horn of the Lateral Ventricle C. Internal Capsule D. Thalamus E. Pineal Gland F. Choroid Plexus G. Straight Sinus
A. Genu of the Corpus Callosum
B. Anterior Horn of the Lateral Ventricle
C. Internal Capsule
D. Thalamus
E. Pineal Gland
F. Choroid Plexus
G. Straight Sinus