Skeletal Trauma > Knee > Tibial Plateau Fracture


Tibial Plateau Fracture

Tibial Plateau Fracture
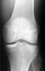
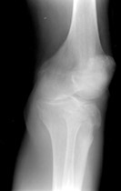
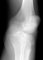
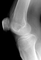
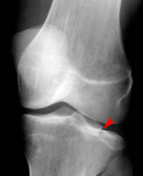
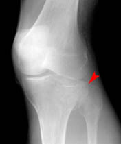
  • Also known as "fender" or "bumper" fractures, tibial plateau fractures most often are the result of a moving vehicle striking the knee.
  • Plateau fractures (medial and lateral) are the most common fracture sustained at the proximal tibia.
  • When depression is not present, fracture may be difficult to recognize with standard radiographic exam. Alternative views and/or CT may be required for diagnosis.
  • CT with multiplanar reconstruction (MPR) can be useful to help understand the anatomy of the fracture in 3D.
  • Associated damage to the anterior cruciate ligament, medial collateral ligament and medial meniscus is common due to valgus stress placed on the knee during injury.
  • Postraumatic arthritis and malunion can result.
Tibial Plateau Fracture

Lateral Tibial Plateau Fracture