Skeletal Trauma > Pelvis & Hips > Sacral Strut Fracture
Sacral Strut Fracture
![]()
Sacral Strut Fracture
| |
| |
|
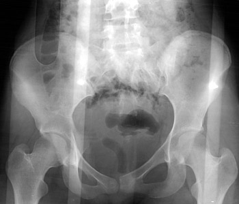
AP view of pelvis | |
| |
|
AP view of pelvis | |
Sacral Strut Fracture
![]()
Sacral Strut Fracture
| |
| |
|
AP view of pelvis | |
| |
|
AP view of pelvis | |