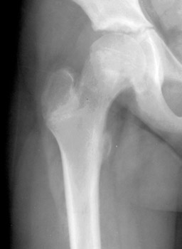
Skeletal Trauma > Pelvis & Hips > Slipped Femoral Epiphysis
Slipped Femoral Epiphysis
![]()
|
Slipped Femoral Epiphysis
| ||
|
| |
| Slipped Femoral Epiphysis | Slipped Femoral Epiphysis Reset | |
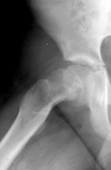
Slipped Femoral Epiphysis
![]()
|
Slipped Femoral Epiphysis
| ||
|
| |
| Slipped Femoral Epiphysis | Slipped Femoral Epiphysis Reset | |