Skeletal Trauma > Pelvis & Hips > Femoral Neck Fracture


Femoral Neck Fracture

Femoral Neck Fracture

  • Full evaluation requires internal rotation of the femur on AP pelvic radiograph. If the femurs are neutrally positioned or externally rotated, the femoral neck will be foreshortened and a fracture may be missed.
  • Occur most commonly in the subcapital region.
  • Associated with postmenopausal osteoporosis.
  • Avascular necrosis of the femoral head is a complication that occurs in 10-30% of subcapital fractures secondary to disruption of the femoral circumflex arteries.
  • Nonunion may occur.
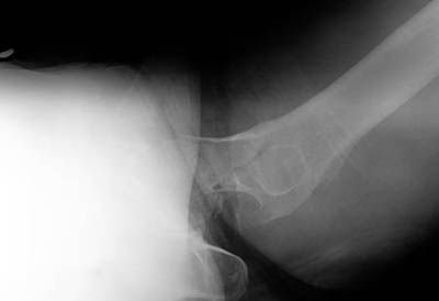
Look at the following radiograph and try to identify the fracture. Can you find it?
Click on the image for the answer.
AP view of pelvis


Now look at another radiograph from a different patient. Can you find the fracture?
Click on the image for the answer.
Frog-lateral view of hip