Skeletal Trauma > Lumbar Spine > Lumbar Compression Fracture


Lumbar Compression Fracture

Lumbar Compression Fracture
  • The general information for lumbar compression fractures is the same as for thoracic compression fractures. Please review that material, which appeared previously, if you feel the need.
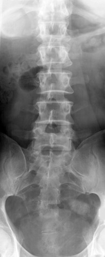
Look for the compression fractures in the radiographs below. Can you find them?
Click on the image for the answer.
AP view

Lateral view

It is important that CT be performed to fully assess the spinal canal. The images below illustrate the appearance of a compression fracture as seen on CT.
Sagittal reconstruction of CT data

Note that in the images below, the posterior vertebral body is not intact.
CT of lumbar compression fracture