Skeletal Trauma > Thoracic Spine > Rib Fracture


Rib Fracture

Rib Fracture
  • Fractures are occasionally present in association with fractures of the thoracic spine.
  • Make sure not to miss an associated rib or transverse process fracture.
The following radiograph shows a rib fracture in an adult.
AP view of chest showing rib fracture

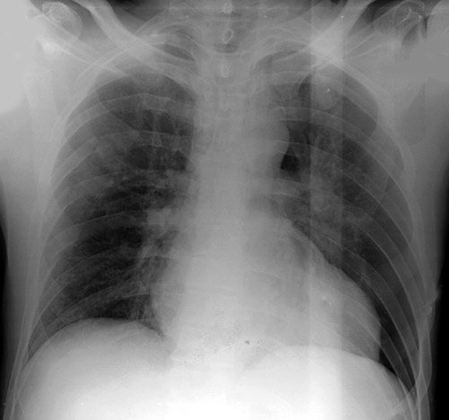
Now look at the following radiograph. Can you find the rib fracture? The hematoma on the patient's left side should be a hint.
Click on the image for a magnified view and the answer.
AP view of chest

Can you find the abnormalities below? Click on the image for the answer.
AP view of chest