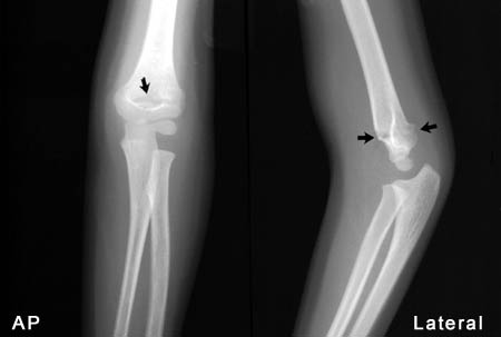
Skeletal Trauma > Elbow > Supracondylar Fracture


Supracondylar Fracture

Humerus fractures
Extra-articular Epicondylar Fracture of the medial or lateral epicondyle
  Supracondylar Fracture line is above the epicondyles
Intra-articular Transcondylar The fracture plane is within the joint capsule, and either the lateral or medial condyle is fractured
  Bicondylar And intra-articular fracture line splits the medial and lateral condyles.

Supracondylar fracture