
Post Test Answers

1)
Opacification of what lobe of the lung
will silhouette the left heart border?

2)What
is the most likely diagnosis on the following chest x-ray?

Questions 3-7: Please refer to the following image.

3) Identify the object labeled "3" in the above image.
Ascending aorta
4) Identify the object labeled "4" in the above image.
Right atrium
5) Identify the object labeled "5" in the above image.
Aortic arch
6) Identify the object labeled "6" in the above image.
Left pulmonary artery
7) Identify the object labeled "7" in the above image.
Left ventricle
8)
The normal chest x-ray seen below is not technically adequate. Why?

9)
Which of the following is not a characteristic of a technically adequate PA
chest radiograph?
The osseous detail of the thoracic spine is always clearly visualized.
10)
Identify the abnormality shown in the image below.

11) What abnormalities of the elbow can be observed in the image below?


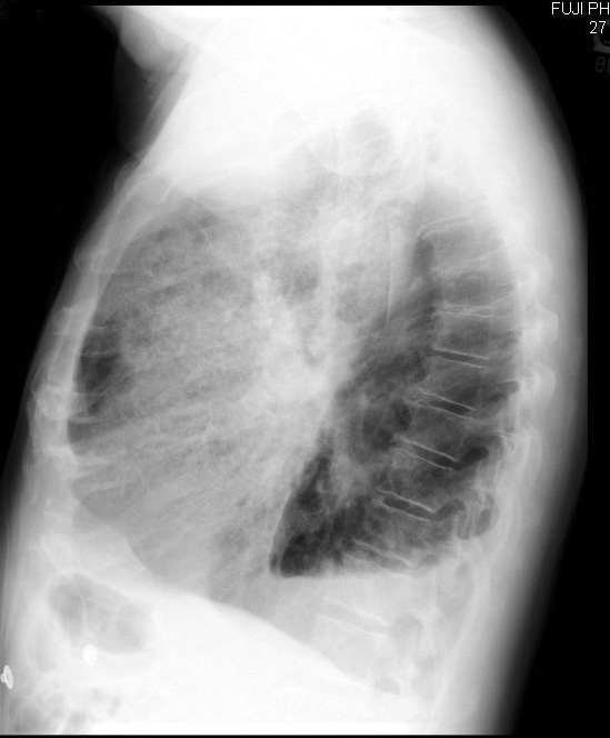
The Left upper lobe opacity represents pulmonary hemorrhage. There is also a
left pleural effusion seen best as a fluid level on the lateral view.
12)
Based on your findings, what lobe is involved in the above image? Left
upper lobe.
13)
Name the abnormality shown in the image below?

14)
What other clinical finding(s) would you expect to find in a patient with the
abnormality shown above?
Hypoxia and dyspnea
15)
Identify the abnormality shown in the image below?

16)
What study may be used to further evaluate the nature of the finding seen
above?
Bilateral decubitus chest x-ray
17)
Pneumonia causes volume loss or collapse of the affected lung parenchyma.
False - The affected lung airspaces become filled with the infectious
process and typically do not collapse.
18)
A pneumothorax is best demonstrated by an
upright expiratory chest x-ray.
True
19)
Identify the abnormality shown in the image below.

The red arrows indicate the edge of the collapsed right lung. Their is
also significant shift of the mediastinum to the left.
20)
The next step in diagnosis and treatment of the abnormality seen above is?
Immediate chest tube placement.
21)
Why is prompt diagnosis and treatment of the above process important?
Patient may expire secondary to decreased venous return to the heart.
The tension pneumothorax increases the intrathoracic pressure decreasing
the venous return to the heart.
22)
The image seen below is a
magnified view
of a lateral chest x-ray. The blue arrows indicate the left ribs and the red
arrows indicate the right ribs. Which of the following statements is
true?

The lateral chest x-ray is obtained with the left chest against the film
cassette which diminishes magnification of the heart and left ribs.
The right ribs are projected posterior to the left ribs in a true
lateral view.
23)
Identify the bronchus labeled "23" in the image below.

The bronchus labeled "23" is the Bronchus intermedius.
24)
Identify the bronchus labeled "24" in the image above. The
bronchus labeled "24" is the Lingular bronchus.
25)
Identify the abnormality shown in the images below.

The air-fluid level seen in the right chest represents a
hydropneumothorax. The red arrows demonstrate the pleural line of the
pneumothorax.
26)
Which of the following statements is true when
distinguishing between a pulmonary, pleural, and extrapleural mass?
Masses with obtuse margins to lung tissue indicate the process is
pleural or extrapleural.
27)
What sign is seen in the image below?

Silhouette sign. The right heart border is not seen due to airspace
disease in the right middle lobe which has a radiodensity similar to the
adjacent heart.
28)
Identify the abnormality shown in the images below.


Hiatal hernia demonstrated by the red arrows above.
29)
The following characteristics of calcification in a solitary pulmonary
nodule would be considered benign except:
Irregular calcification.
Central, stippled, or complete calcification of a solitary pulmonary nodule
are considered benign findings.
30)
What finding is least consistent with lobar atelectasis?
None of the above. All of the findings listed are characterictic
of atelectasis.