Chest Radiology > Pathology > Pulmonary Edema > Near Drowning
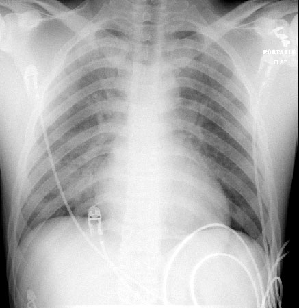
Near drowning
![]()
The CXR may be normal, especially in children, if laryngospasm (diving reflex) occurs. Otherwise, a "batwing" pattern of pulmonary edema is seen. The situation may be complicated by ARDS.

PA of near drowning patient after resuscitation
