Cardiac MRI > Post Test
Post-Test
![]()
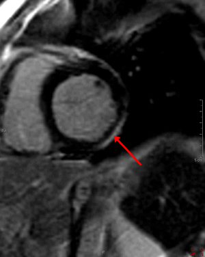
1) This gradient echo cine shows which of the following abnormalities?
2) This inversion recovery sequence was taken 10 minutes after the administration of IV gadolinium. Which of the following entities does it show?


3) This horizontal long axis SSFP demonstrates which of the following entities?
4) What are the primary physiologic consequences of the entity in the image shown below?
5) The cine below shows findings which are characteristic of which of the following?
6) The gradient echo cine below shows what congenital abnormality?
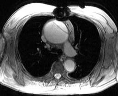
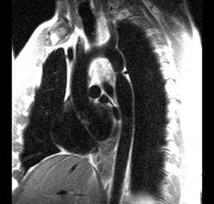
7) This spin echo image shows what aortic abnormality?
8) Which of the following is shown in the IR image below acquired 10 minutes following infusion of gadolinium contrast agent?


9) The cine image below uses a technique specialized to determine what entity?
10) Which congenital cardiac anomaly is shown on the gradient echo cine below?
11) Below are pre- and post-gadolinium SSFP images. What abnormality do they show?


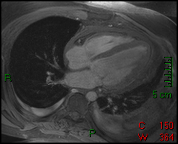
12) Which is seen on the gradient echo cine below?
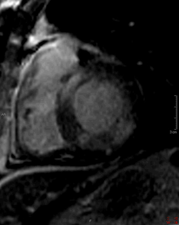
13) What abnormality is seen on this inversion recovery image?


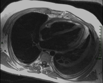
14) What abnormality is seen on the gradient echo vertical long axis cine seen below?
15) Below are perfusion images of basal, mid, and apical slices along with a delayed hyperenhancement image (bottom) aligned with the mid slice. The resting images are displayed on the top left with the Adenosine images displayed in the top right. What abnormality is seen in these images?

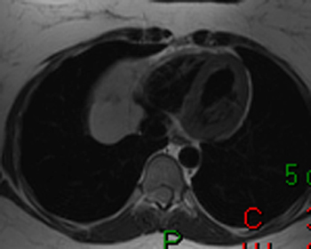
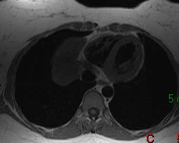
16) What aortic abnormality is seen on the T1 weighted axial image below?


17) What abnormality is seen on the T1-weighted (left) and T2-weighted (right) images below?


18) This image is most consistent with what diagnosis?


19) What abnormality is seen on the sagital view below?


20) What abnormality is seen in the DHE image below?


