Cardiac MRI > Pathology > Pericardial Disease > Constrictive Pericarditis
Constrictive Pericarditis and Pericardial Thickening
![]()
Constrictive pericarditis is most commonly associated with a thickened pericardium. Pericardial thickening can be asymptomatic and constrictive pericarditis can occur without pericardial thickening; however, this is less common. Both constrictive pericarditis and pericardial thickening can results from tuberculosis, radiation, viral pericarditis, or prior surgery. The pathophysiology of constrictive pericarditis is restriction of diastolic ventricular filling due to a non-compliant pericardium which is often adhered to the epicardium. Clinically, symptoms often mimic restrictive cardiomyopathy. MRI is useful in separating these entities.
Normal pericardium is less than 3 mm thick. When the pericardium is thickened it is often thickened heterogeneously, with some areas thicker than others. In chronic constrictive pericarditis, there is typically bi-atrial enlargement. A diastolic septal bounce can be seen with constrictive pericarditis. Cine and tagged images are helpful to judge the pathophysiologic consequences of pericardial thickening. Tagged images may show a lack of pericardial slippage during the cardiac cycle due to the tight adhesion between the pericardium and epicardium.
In effusive constrictive pericarditis, there is both thickening of the pericardium with adhesions to the epicardium as well as loculated pericardial effusions.
This SSFP cine from a patient with constrictive pericarditis shows a diastolic septal bounce in the interventricular septum as well as biatrial enlargement.
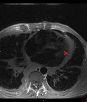
This axial spin echo image shows a pericardium that is thicker than the normal 3 mm (arrowhead). This finding is consistent with constrictive pericarditis, but clinical correlation is necessary to determine if the patient is symptomatic.
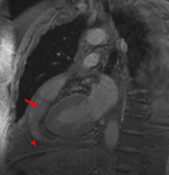
The two chamber long axis T1-weigted fat saturated gradient echo image demonstrates effusive constrictive pericarditis. Notice the septated pericardial effusion (arrow) and the thickened pericardium (arrowhead).
